OptiBind™ Antibody Binder
| Brand | BIOCODE |
| Cat. No. | BCT-POB-L |
| Application | Increase efficiency of antibody binding |
| Package | 1 set (include 2 baskets and spreaders) |
| Synonyms | 항체사용량 감소, 웨스턴 항체, antibody, 항체반응기, 항체반응용기, Membrane tray, Membrane container, Antibody container |
Features
Western blotting에서 비용과 시간을 가장 많이 차지하는 Primary Antibody, Secondary Antibody 처리
Western blotting은 왜 이렇게 오래 걸리는 걸까? Antibody 처리를 좀 더 효율적으로 할 수 없을까? 라는 질문에서 시작되어
OptiBind™ Antibody Binder까지 개발하게 되었습니다.
이제 Antibody 사용량도 줄이고, 처리시간도 줄어듭니다!
어떻게 Antibody 사용량이 줄어도 결과가 같나요?
기존의 seesaw shaker 위에 tray를 올려 Antibody를 반응하는 Batch방식은 항체를 반응하는 동안 항체의 농도가 낮아진 얇은 층이 Blotting membrane 주위에 생성되어 항체 결합을 제한합니다. 하지만 이 층은 항체 용액의 순환 배수 (Draining) 및 보충 (Replenishing)에 의해 쉽게 파괴될 수 있습니다.
그리고 Spreader를 사용하여 Membrane 표면을 가로질러 Antibody solution의 균일한 이동을 가능하게 하였습니다. 이를 S-CDR방식으로 명명하였습니다. 이는 Batch방식과 비교하여 Antibody 결합력을 높이고, 항체 사용량 감소 효과를 얻을 수 있습니다.
Experimental Data
샘플의 농도에 따른 Batch방식과 S-CDR 방식의 결과 차이
내 샘플이 적어도 OK!
같은 양의 샘플이라면 항체 사용량을 줄여도 OK!
Sample: HeLa cell lysate (1.25 – 10 ug)
Membrane: NC membrane
Primary antibody: anti-β-actin, anti-GAPDH
Secondary antibody: IR Dye 680 LT goat anti-mouse IgG, IR Dye 800CW goat anti-rabbit IgG
Antibody incubation time: 45 min
Washing: TBS-T
Imaging: Odyssey Classic imaging system (LI-COR)
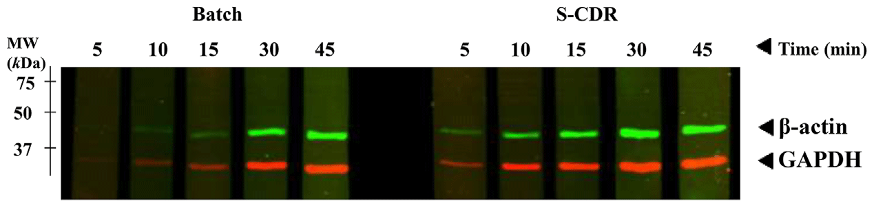
항체 처리 시간에 따른 Batch방식과 S-CDR 방식의 결과 차이
항체 반응 시간 감소!
Sample: HeLa cell lysate
Membrane: NC membrane
Primary antibody: anti-β-actin, anti-GAPDH
Secondary antibody: IR Dye 680 LT goat anti-mouse IgG, IR Dye 800CW goat anti-rabbit IgG
Antibody incubation time: 5~45 min
Washing: TBS-T
Imaging: Odyssey Classic imaging system (LI-COR)
Cover 사용으로 장시간 반응에도 걱정없이!
Cover (optional)를 함께 사용하면 장시간 반응에도 Antibody solution이 증발하는 것을 억제할 수 있습니다.
투명 재질로 Cover를 덮어도 Membrane을 육안으로 확인이 가능합니다.
Specifications
| OptiBind™ Antibody Binder | |
|---|---|
| Angle | 45 ± 2° |
| Speed | 12 rpm |
| Basket size | Midi size: 85 × 150 mm/space Mini size: 85 × 75 mm/space Ultra mini size: 85 × 35 mm/space |
| Power | 220 V, 60 Hz |
| Dimensions | 560 (L) × 155 (D) × 183 (H) mm |
| Weight | 4.25 kg |
Ordering Info
| Cat. No. | Product | Unit |
|---|---|---|
| BCT-POB-L | OptiBind™ Antibody Binder | 1 set |
| BCT-SW-D | OptiBind™ Antibody Binding Basket, Midi-size | 1 ea |
| BCT-SW-F | OptiBind™ Antibody Binding Basket, Mini-size | 1 ea |
| BCT-SW-N | OptiBind™ Antibody Binding Basket, Ultra Mini-size | 1 ea |
| BCT-SW-C | OptiBind™ Antibody Binding Basket Cover | 1 ea |
